

引言
怀孕就像一场精密的身体协作,藏着不少细胞层面的小秘密!🔥
🔑 人类样本难获取,加上个体差异干扰,一直很难摸清孕期生理和胎儿生长受限的机制。
🔑 江西农业大学以猪为模型,构建了同一家族全身单细胞图谱,覆盖母体与胎儿海量组织。
🔑 一口气解析 256 万个细胞,既揭示孕期心脏适应规律,也找到胎儿生长受限的关键通路。
🔑 一起扒一扒背后的思路逻辑吧!
选题无从下手?方案评估复杂?点击下方名片,我们来为您提供选题分析和方案评估!
关注生信星图,每天分享高分文献~





近期前沿热点:虚拟细胞、虚拟敲除
复刻高分思路 助力科研梦想✍


机器学习:欢迎咨询,认准生信星图👏

📣孕期母体与胎儿的细胞协同机制一直难以解析,人类样本获取受限,而猪与人体生理相近。于是我们借助猪模型,用单细胞技术破解妊娠适应与胎儿生长受限的核心问题。🌏

(针对一个猪家族构建的“全整合型”单细胞图谱,揭示了妊娠诱导心脏适应及胎儿生长受限背后的细胞机制。)

✅ 单细胞全景图谱构建
采用 “同一家系、单个体” 策略,对怀孕母猪与胎儿分别采集 119、115 个组织,完成 scRNA-seq 与 snRNA-seq,质控后获得 256 万余个细胞数据。
✅ 多组学联合分析
整合单细胞转录组、代谢组、染色质开放组(snATAC-seq)与 bulk RNA-seq,系统解析细胞类型、通路与分子调控网络。
✅ 基因编辑验证
运用 CRISPR/Cas9 与 ABE 编辑技术,构建IRX6 基因敲除 / 突变猪模型,验证转录因子的细胞特异性功能。
✅ 细胞与类器官功能实验
开展猪血管内皮细胞过表达 / 敲低、人滋养层类器官、人肌原性祖细胞与肌肉类器官实验,明确基因与代谢物功能。
✅ 公共数据库支撑
依托人类细胞图谱、小鼠细胞图谱、KEGG、HGNC、UniProt 等库,完成细胞注释与跨物种保守性分析。

(两个猪家族中“全整合”单细胞全景图概览)

🎯 单细胞图谱构建
构建猪母子全组织单细胞图谱,获 256 万细胞数据,鉴定 76 种主细胞型、412 种内皮亚型。

(构建“一站式”单细胞图谱及胎儿与成年猪全身器官内皮细胞(EC)景观特征分析)
🎯 内皮细胞异质性
脑与外周内皮在增殖、免疫、代谢上存在明显差异,脂肪组织含 16 种内皮亚型。

(59个器官中内皮细胞的器官内异质性及免疫调节功能多样性)
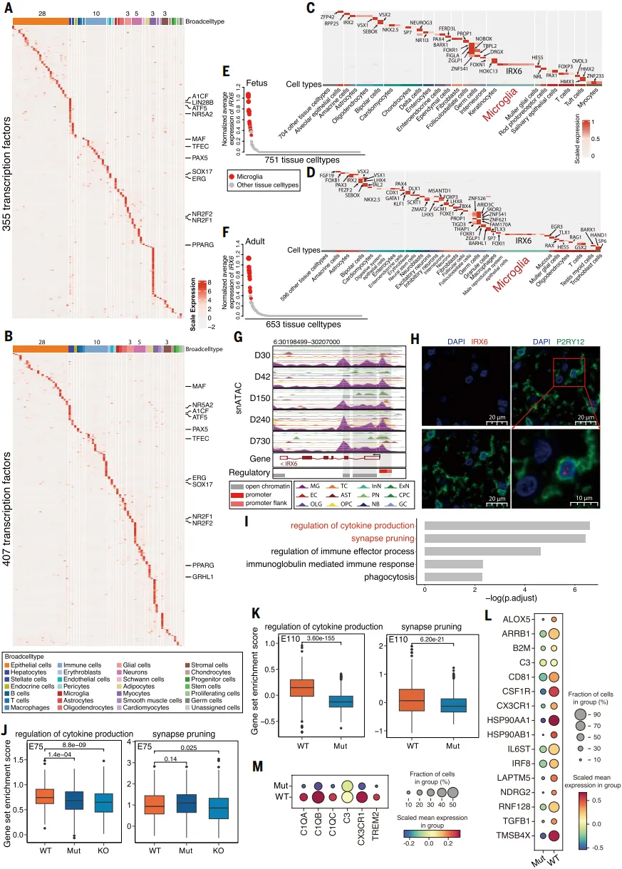
🎯 特异转录因子
筛选出组织特异转录因子,证实IRX6为小胶质细胞特异因子,调控突触修剪与细胞因子分泌。

(细胞类型特异性转录因子的鉴定与表征)
🎯 孕期心脏适应
孕期心脏富集 Cap2 内皮细胞,以脂肪酸代谢供能,产后可恢复,揭示生理性心肌肥厚机制。

(猪心脏在NP、LP和PP状态下的动态细胞与功能适应性变化)
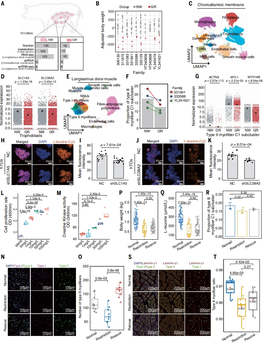
🎯 胎儿生长受限机制
胎盘滋养细胞 SLC1A5/SLC38A2 表达下降,亮氨酸转运不足,降低胎儿 Ⅱ 型肌纤维比例,引发生长受限。

(解析胎儿生长受限的细胞机制)
🎯 跨物种保守性
猪的关键细胞类型与基因程序在人、鼠中高度保守,研究结论可转化至人类。

(比较分析显示猪、人类和小鼠之间存在细胞类型及基因表达程序的跨物种保守性。)

⭐ 总之,这项研究构建的猪母子单细胞图谱,为解析妊娠生理与胎儿发育提供了全新视角。这些发现不仅深化了细胞调控认知,更为人类孕期保健与胎儿生长受限防治提供了可靠转化依据。
今天的分享就到这里了!我们下次见!
如果您也想用”基因敲除+多组学+公共数据库“进行生信分析,复刻高分思路
⭐联系生信星图,我来为您发顶刊保驾护航!🚢


生信星图专业分析
思路设计 方案评估
孟德尔随机化/共病分析/机器学习
转录组/预后模型/虚拟敲除/公共数据库




1IF11.3!恭喜中山大学杨春雪团队靠“网络毒理学+多组学”登顶双一区TOP!揭示BDE 47的潜在肝致癌效应及其作用机制!