
各位热爱科研的小伙伴们,今天为大家推介2026年1月20日发表在 《Food Research International》杂志的研究性文章。该文章由东北农业大学 郭鸰教授、杨鑫焱教授等团队共同完成,主要研究方向为乳制品加工与质量控制、食源性致病菌生物防控、肠道菌群调节机制与新型发等。文章题目“Isomaltooligosaccharide, galactomannan, and Lacticaseibacillus rhanmosus synergistically regulate intestinal immunity through the “gut-metabolism-immune axis”。本研究旨在探究一种由IMO、GM和鼠李糖乳杆菌JY027(Lacticaseibacillus rhamnosus JY027)组成的新颖合生元配方,评估其对肠道免疫的协同调节作用及潜在机制,并且围绕免疫力 (Immunity)、肠道菌群 (Gut microbiota)、代谢 (Metabolism)、益生菌 (Probiotics)、益生元 (Prebiotics)、合生元 (Synbiotic)等关键词展开研究。

背景:肠道免疫系统对人类健康至关重要,其功能障碍可引发多种疾病。因此,开发高效、无毒的免疫调节剂(如合生元)受到广泛关注。异麦芽低聚糖(IMO)和半乳甘露聚糖(GM)已被证明具有益生元特性,但基于这两种益生元与益生菌组合的合生元配方及其在免疫调节中的具体作用机制仍缺乏深入研究。
目的:本研究旨在 investigate(调查/研究)一种新型合生元配方(由IMO、GM和鼠李糖乳杆菌Lacticaseibacillus rhamnosus JY027组成)的免疫调节作用及其机制,利用脂多糖(LPS)刺激的RAW264.7细胞和环磷酰胺(Cy)诱导的免疫缺陷小鼠模型进行系统评价。
方法:体外模型:使用LPS刺激的RAW264.7巨噬细胞炎症模型。体内模型:建立环磷酰胺(Cy)诱导的免疫抑制小鼠模型。技术手段:结合生理学、代谢组学(短链脂肪酸检测)和基因组学(16S rRNA基因测序)方法,评估炎症因子水平、免疫器官指数、免疫细胞活性、肠道菌群结构及代谢产物变化。
结果:炎症调节:合生元组合显著抑制促炎因子TNF-α、IL-6和IL-1β的分泌,并降低其mRNA表达水平,且效果优于单独的益生元或益生菌组。显著改善免疫器官指数(胸腺指数和脾脏指数),逆转Cy诱导的免疫器官萎缩。先天免疫增强:显著增强NK细胞活性(较模型组提高1.49倍)。适应性免疫调节:促进T淋巴细胞(CD4+和CD8+)的增殖和分化;促进B细胞分泌分泌型IgA(sIgA),增强体液免疫应答。
肠道屏障修复:修复肠道屏障损伤,增加隐窝深度,恢复黏膜层厚度,减少上皮细胞凋亡。肠道菌群调节:显著增加毛螺菌科(Lachnospiraceae)和另枝菌属(Alistipes)等有益菌的丰度,降低与炎症相关的Colidextribacter丰度;上调拟杆菌门(Bacteroidota)和放线菌门(Actinobacteriota),下调厚壁菌门(Firmicutes)。代谢产物变化:显著增加短链脂肪酸(SCFAs)的产生,包括乙酸、丙酸、丁酸、异丁酸和异戊酸等。
结论:该合生元配方(IMO+GM+L. rhamnosus JY027)通过调节肠道菌群结构、增加短链脂肪酸(SCFAs)的产生,协同增强先天性和适应性免疫,从而改善药物诱导的肠道炎症和免疫缺陷。研究揭示了其通过"肠-代谢-免疫轴"(gut-metabolism-immune axis)发挥协同免疫调节作用的机制,为开发新型、高效、无毒的免疫调节剂提供了新的策略和理论依据。

机制图

图1 动物实验设计方案。
显示BALB/c小鼠分组、环磷酰胺(Cy)诱导(80 mg/kg,腹腔注射,每天一次,连续4天)、合生元/益生元/益生菌灌胃给药(每天一次,连续15天)及样本采集时间线。NC:正常对照组;MC:模型组;PC:阳性对照组(左旋咪唑盐酸盐);GM+IMO:益生元组(半乳甘露聚糖+异麦芽低聚糖);JY027:益生菌组(鼠李糖乳杆菌JY027);GM+IMO+JY027:合生元组;i.p.:腹腔注射;i.g.:灌胃;q.l.d.:每天一次。

图2 合生元对脂多糖刺激RAW264.7细胞炎症因子的影响。
(A) 肿瘤坏死因子-α(TNF-α)水平;(B) 白细胞介素-1β(IL-1β)水平;(C) 白细胞介素-6(IL-6)水平;(D) TNF-α mRNA相对表达水平;(E) IL-1β mRNA相对表达水平;(F) IL-6 mRNA相对表达水平。

图3 合生元对免疫器官指数及NK细胞活性的影响。
(A) 免疫器官指数(胸腺指数和脾脏指数);(B) NK细胞活性。不同字母表示组间存在显著性差异。

图4 合生元对免疫抑制小鼠细胞因子分泌及体液免疫应答的影响。
(A) 白细胞介素-6(IL-6)水平;(B) 白细胞介素-1β(IL-1β)水平;(C) 肿瘤坏死因子-α(TNF-α)水平。

图5 合生元对免疫抑制小鼠适应性免疫的影响。
(A) CD4+和CD8+T细胞的流式细胞术分析图;(B) CD4+和CD8+T细胞百分比统计;(C) 分泌型免疫球蛋白A(sIgA)表达的蛋白质印迹(Western blot)分析(左图)及相对表达量定量(右图)。

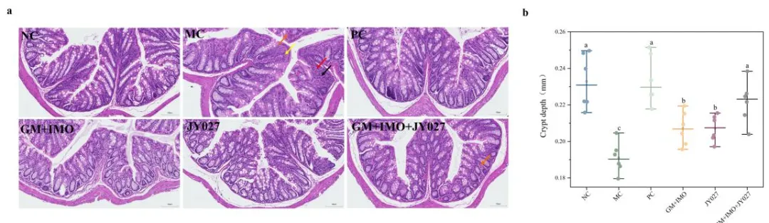
图6 小鼠结肠组织病理切片及隐窝深度测量。
(A) 各组小鼠结肠苏木精-伊红(H&E)染色光学显微镜图像;(B) 隐窝深度。黑色箭头表示糜烂区域,黄色箭头表示坏死细胞碎片,红色箭头表示免疫细胞浸润,橙色箭头表示充血。

图7 合生元缓解环磷酰胺诱导的肠道菌群失调。
(A) Bray-Curtis距离矩阵热图分析;(B) 主坐标分析(PCoA);(C) 非度量多维尺度分析(NMDS);(D-E) 门水平群落组成分析;(F-H) 属水平线性判别分析(LefSe)及进化分支图(Cladogram)。

图8 短链脂肪酸(SCFAs)对免疫抑制小鼠的影响。
(A-G) 分别为乙酸、丙酸、异丁酸、丁酸、异戊酸、戊酸和己酸的水平;(H) 属水平肠道菌群与短链脂肪酸的相关性分析。采用Pearson相关系数评估变量间关系。
综上所述,我们的研究揭示了由异麦芽低聚糖(IMO)、半乳甘露聚糖(GM)和鼠李糖乳杆菌(Lacticaseibacillus rhamnosus)JY027组成的合生元配方具有显著的协同免疫调节效应,其通过"肠-代谢-免疫轴"多层次改善免疫缺陷:该配方不仅能显著抑制促炎因子TNF-α、IL-6和IL-1β的分泌,提升免疫器官指数,增强NK细胞介导的先天免疫活性,还能促进T淋巴细胞增殖分化及B细胞分泌sIgA以重建适应性免疫,并有效修复肠道屏障损伤;
机制上,该合生元通过选择性富集毛螺菌科(Lachnospiraceae)和另枝菌属(Alistipes)等有益菌群,促进短链脂肪酸(SCFAs)的产生,从而将肠道菌群结构重塑与宿主免疫激活有机联系起来,为开发针对化疗诱导免疫抑制及肠道炎症的新型、高效、无毒免疫调节剂提供了重要的理论依据和策略参考。



需要领取文献的同学,后台私信“76”,即可领取!
《医研三人行》公众号推送文章仅为学术交流使用,仅供读者参考。公众号中“原创”标识仅代表原创编译之作,不代表本公众号对文本主张版权。版权归文章作者所有。
1、广州中医药大学董燕/周华/宁为民等团队Phytomedicine2026开年力作:青藤碱靶向α7nAChR激活Nrf2通路,一招抗氧化点亮阿尔茨海默病新曙光
2、优作推荐!首都医科大学 杨佳蕾教授团队发现:基于工程化外泌体的衰老细胞清除疗法通过靶向 p21 + CD86 + 小胶质细胞缓解中风
3、中药复方TOP思路可学!丹连通脉方 + 16:8 禁食:中国中医科学院 刘玥教授团队解锁糖尿病血管钙化中西医整合治疗新方案