JEV|中国农业大学胡小松/陈芳/李道通团队:Lachnospiraceae衍生的胞外囊泡促进肠干细胞功能介导大麦叶对心肌梗死的保护作用
急性心肌梗死(Myocardial Infarction,MI)具有突发性强、病程进展迅速、死亡率高及预后不良等特点,是心血管疾病中最危急的一种。根据《全球疾病负担研究(Global Burden of Disease, GBD)》报告,缺血性心脏病死亡人数约占全球总死亡人数的13%,是全球范围内重要的公共卫生问题和主要的死亡原因之一。MI不仅是心脏局部缺血坏死的问题,还伴随着全身炎症激活、肠屏障受损和肠道菌群紊乱。近年来,“菌群—肠道—心脏轴”逐渐成为心血管研究的重要方向。
近日,中国农业大学食品学院国家果蔬加工工程技术研究中心在Journal of Extracellular Vesicles杂志上发表题为“Lachnospiraceae-Derived Extracellular Vesicles Mediate the Cardioprotective Effects of Barley Leaf in Myocardial Infarction by Improving Intestinal Stem Cell Function”的论文,硕士研究生陈文静和赵一帆为共同第一作者,李道通(食品科学与营养工程学院副教授)、胡小松(食品科学与营养工程学院教授)为通讯作者。
该研究表明膳食补充大麦叶可有效缓解MI后的心脏功能下降和心肌损伤,并同步改善肠道屏障功能障碍及菌群失调;通过抗生素清除肠道菌群实验和粪便微生物群移植实验,证实这一心脏保护作用高度依赖于肠道微生物群。进一步发现,大麦叶显著富集Lachnospiraceae,该菌群可通过增强肠上皮完整性、抑制LPS入血,从而缓解心肌损伤。更关键的是,Lachnospiraceae的作用主要由其分泌的L-EVs介导,L-EVs通过递送类雌激素代谢物激活肠干细胞内的雌激素受体α(ERα)–溶质载体家族6成员14(Slc6a14)–Hippo信号通路,最终促进肠道屏障修复,缓解心脏损伤,形成“菌群–肠–心”轴向保护。

主要内容:
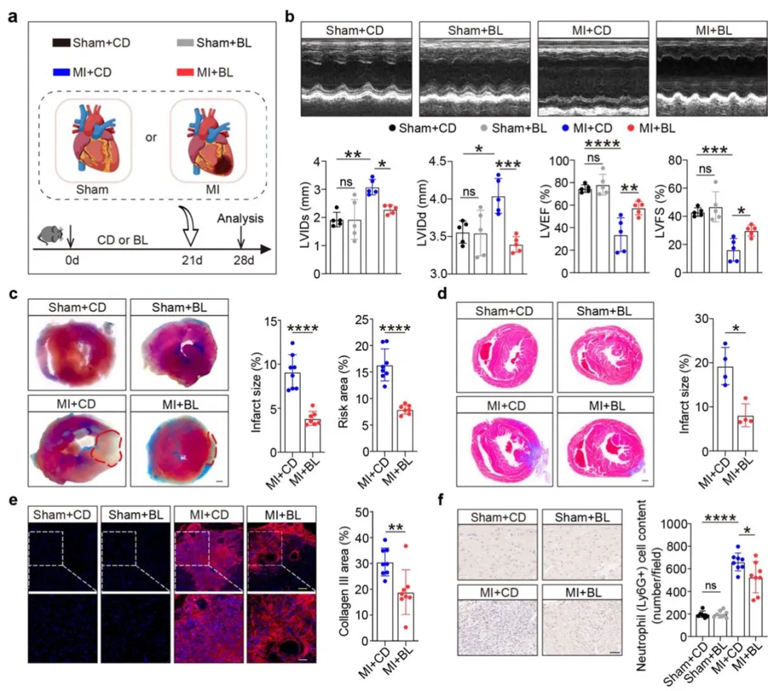
1. 大麦叶可改善MI后的心脏功能和心脏重构
在小鼠MI模型中,膳食补充BL可以改善MI小鼠的心脏功能、减少心脏梗死面积、减轻心肌纤维化、减少新生血管数量、减少中性粒细胞浸润,从而有效改善左心室的不良重塑。作者还指出,这种心脏保护作用具有一定的时间和剂量依赖性。

2. 大麦叶可改善肠屏障损伤和菌群失衡
BL干预可以显著改善MI所导致的肠道屏障损伤,具体表现为减轻结肠组织损伤、提高粘液屏障功能、促进紧密连接蛋白Claudin-3和ZO-1的表达,进而抑制肠源LPS进入体循环。与这一变化一致,16S rRNA测序显示,大麦叶可以缓解MI诱导的肠道菌群紊乱,并富集Lachnospiraceae。
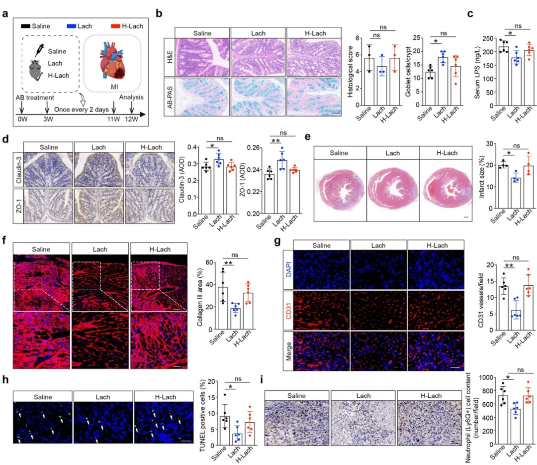
3. 大麦叶的心脏保护作用依赖肠道菌群
为了证明这不是简单的并行现象,作者做了两组关键验证。第一,使用抗生素耗竭肠道菌群后,大麦叶对心脏和肠道的保护作用明显减弱,说明菌群参与了这一过程。第二,将来自大麦叶干预供体小鼠的菌群移植到受体小鼠后,受体在MI后表现出更低的血浆LPS、更完整的肠屏障和更好的心脏功能,同时梗死面积、纤维化和炎症浸润也有所缓解。说明大麦叶诱导的菌群变化本身就具有可转移的保护效应。

4. 大麦叶富集的Lachnospiraceae是关键功能菌
为了验证Lachnospiraceae的心脏保护功能,作者进一步比较了活菌和热灭活菌的作用。结果显示,只有活的Lachnospiraceae能够改善MI后的小鼠表型,而热灭活处理后,这种作用基本消失。论文讨论部分进一步指出,这是首次在这一研究背景下证明Lachnospiraceae本身具有缓解MI后不良结局的潜力。

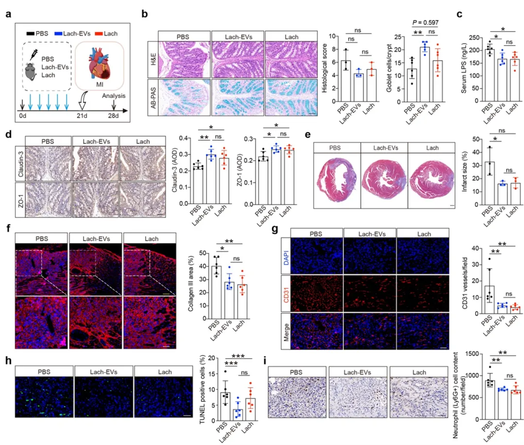
5. Lachnospiraceae来源胞外囊泡可以发挥心脏保护作用
研究的一个核心亮点,是作者从Lachnospiraceae培养上清中分离得到了其来源胞外囊泡,即L-EVs。这类囊泡经口给药后具有较好的稳定性、生物相容性和结肠滞留特征,并且在实验条件下未见明显毒性。更重要的是,L-EVs本身就能够发挥保护效应,包括改善肠屏障、降低LPS转位、减轻MI后的心脏损伤与重构。

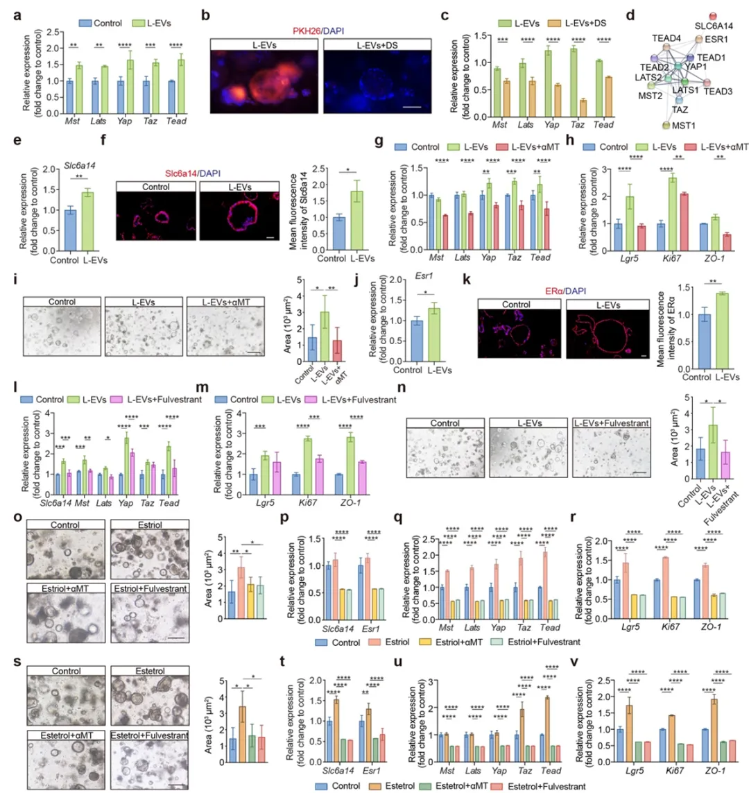
6. 机制指向ERα–Slc6a14–Hippo通路和肠道干细胞功能
为了进一步解释L-EVs为何有效,作者使用结肠类器官进行了机制研究。结果显示,L-EVs能够促进类器官增殖和分化。RNA-seq提示,这一效应与Hippo信号通路有关。进一步分析发现,L-EVs处理后Slc6a14表达上调;当使用Slc6a14抑制剂αMT后,L-EVs诱导的Hippo通路变化、YAP/TAZ核易位及类器官生长增强效应均被削弱。
作者继续向上游追踪,发现ERα参与了Slc6a14的调控。使用ERα抑制剂fulvestrant后,L-EVs诱导的Slc6a14上调、Hippo通路调节和类器官生长促进作用均受到抑制。代谢组学进一步表明,L-EVs中含有雌激素样代谢物estriol和estetrol。这两种分子本身也可以促进类器官发育,而其作用同样会受到αMT或fulvestrant的干预。由此,作者提出的机制模型是:L-EVs携带雌激素样代谢物estriol和estetrol激活ERα,进而调节Slc6a14-Hippo信号通路,促进肠道干细胞功能和肠屏障修复,减少LPS转位,最终减轻MI后的炎症和心脏重构。

参考文献:
Lachnospiraceae-Derived Extracellular Vesicles Mediate the Cardioprotective Effects of Barley Leaf in Myocardial Infarction by Improving Intestinal Stem Cell Function. J Extracell Vesicles. 2026 Mar;15(3):e70250. doi: 10.1002/jev2.70250. PMID: 41806348; PMCID: PMC12974910.

AI辅助临床科研设计、论文、标书与数据管理实战 4月11-12日 上海