白及是我国重要道地中药材,其多糖活性成分在皮肤修护领域潜力巨大,但普通栽培白及多糖的抗氧化、抗光老化活性有限,且化学改性存在安全隐患。如何通过绿色农艺技术提升白及活性、保障原料安全,成为药用植物栽培与应用的关键课题。
四川农业大学农学院田孟良教授团队攻克这一难题,首创叶面硒肥施用技术,实现白及天然富硒与多糖结构改性,制备出安全高效的硒修饰白及多糖(Se BSPs),相关成果发表于《International Journal of Biological Macromolecules》(2026, 354: 151400),为药用植物安全高值化栽培提供重要范式。

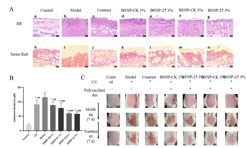
研究团队系统筛选白及富硒最优农艺参数,结果显示:25 μM 亚硒酸钠叶面喷施为最佳浓度,该剂量下白及块茎重量较对照组提升 1 倍,须根生长旺盛,多糖硒含量显著提升 1.91 倍;而高浓度硒会引发植物毒性,明确了安全施用边界。

通过农艺富硒实现的天然改性,未改变白及多糖核心单糖组成,仅优化结构:分子量提升、结构更稳定,形成 C O Se、Se=O 硒特异性化学键,从源头避免化学改性残留风险,保障后续药用、护肤应用的绝对安全。
动物与细胞实验证实,该天然富硒白及多糖对 UVB 光老化皮肤修复效果显著,3% 浓度即可高效修复皮肤损伤,且无细胞毒性,符合药用与化妆品原料的安全标准。

这项研究以农艺技术赋能药用植物品质,用绿色、可控、安全的叶面富硒方式替代化学改性,既提升白及多糖生物活性,又严格保障用药与护肤安全,为道地中药材标准化栽培、功能活性提升与安全应用提供了可复制的技术路径,助力中药材产业高质量发展。
本研究第一作者为四川农业大学陈稷教授、四川农业大学姜丽萍、李林红(共同一作);通讯作者为四川农业大学田孟良教授。
