导语:环境科学顶级期刊Environmental Pollution(IF=7.3,JCR一区)近日发表一项题为“Potential toxic effects of polylactic acid microplastics accumulation on multiple tissue structures and hematology in carp”的论文,系统揭示可降解微塑料PLA-MPs在淡水鱼类中的多组织积累与毒性机制。

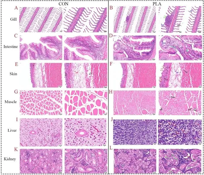
摘要:本研究通过建立鲤鱼PLA-MPs暴露模型(5 mg/L,56天),发现PLA-Mps在鱼体多器官残留,积累量排序为肠(13.30-24.17 μg/kg)>鳃(2.14-5.36 μg/kg)>肌肉(0.32-0.53 μg/kg)>肝(0.14-0.63 μg/kg)>皮肤(0.09-0.47 μg/kg)>肾(0.04-0.21 μg/kg)。组织病理学显示PLA-MPs引发鳃丝融合、上皮细胞脱落,肠上皮损伤空泡化,肝细胞空泡化,肾小管萎缩等结构破坏。超微结构观察证实线粒体肿胀、双层结构损伤及线粒体自噬。血清生化指标显示CK、LDH、ALT、AST等酶活性显著升高(P<0.05),电解质紊乱,血脂血糖异常。代谢组学分析发现135种差异代谢物(49上调、86下调),蛋白消化吸收通路最显著富集。研究表明PLA-MPs通过氧化应激与代谢干扰诱发系统性毒性。

文中图片精选

图1. PLA-MPs表征:(A)SEM图像(×500和×1000);(B)粉末粒径分布;(C)悬浮液粒径;(D)Zeta电位。

图2. 鲤鱼各组织PLA-MPs残留量(鳃、肠、皮肤、肌肉、肝、肾)。

图3. 组织病理学染色结果(鳃、肠、皮肤、肌肉、肝、肾)显示结构损伤。

图4. 超微结构TEM图像(鳃、肠、皮肤、肌肉、肝、肾)显示线粒体损伤。

图5. 血清生化指标变化(酶学、电解质、血脂、血糖等)。

图6. 血清代谢组学分析:(A)PLS-DA评分图;(B)置换检验;(C)差异代谢物火山图;(D)热图;(E)KEGG通路分类;(F)Top20通路富集。
作者简介
第一作者:Sitong Zhou,东北农业大学动物科学技术学院研究生,主要从事水环境微塑料毒理学与鱼类健康研究。
共同通讯作者:邢厚娟,东北农业大学动物科学技术学院副教授,硕士生导师。研究方向聚焦动物生产与环境控制领域,主要开展:①生猪养殖设施工程与智能化装备应用(如节能型环境控制系统、粪污资源化利用技术);②寒区生猪养殖模式优化(如发酵床式养殖环境控制、种养结合生态养殖模式);③动物生产类专业课程教学创新(如《家畜环境卫生学》研讨式教学改革)。发表学术论文十余篇。主持东北农业大学教学改革项目 1项。

声 明
往期推荐
年度阅读热点推文TOP10(2025年)
1.江南大学任聪团队顶刊!Water Research || 突破性进展!简化菌群实现酿酒废水高效产己酸,破解环境治理难题
2.宁波大学吴乃成团队顶刊(Water Research) || 风暴事件引爆淡水磷循环巨变!土地利用成关键开关
3.哈工大博士生顶刊(WR),精美Figs! || 真实环境微塑料老化引爆抗生素耐药性社区传播危机!
4.中科院刘再华团队 Water Research || 土地利用与气候变化协同提升喀斯特水生系统碳汇功能,揭示隐藏的生态引擎
5.仲恺农业工程学院梁嘉林团队一区top!JHM || PFAS与污泥EPS的稳定结合——环境风险激增的隐形引擎
6.CELL正刊!水稻分蘖调控革命:根际细菌产“伪激素”,直接操控作物株型!
7.曲阜师范大学王庆贵团队NC子刊 || 高纬度森林碳汇奇迹——外生菌根树如何“解锁”地下碳库密码
8.河海大学倪利晓团队博士生一区top(JHM) || 突破性发现!吲哚以群体感应抑制双机制实现蓝藻水华绿色防控
9.安徽建筑大学李卫华团队 JECE || 厌氧共发酵颠覆性突破:剩余污泥与餐厨垃圾协同回收磷与甲烷
10.德国博后基于中国森林的子刊(NC)? || 多样性竟导致“趋同”?树种越丰富,个体差异反而越小!
近期阅读热点推文TOP10(2026年1月份)
1.哈工大-李昂团队研究生-高水平综述Water Research||群体感应引爆废水厌氧处理革命!信号分子类似物成精准调控
2.北京工业大学-彭永臻(院士)团队-Bioresour. Technol.||城市污水处理中利用甲酸盐调节亚硝酸盐氧化菌代谢实现快速亚硝化作用
3.Nature子刊 南京师大(雷沛)&南京大学[任洪强(院士)&钟寰(杰青)]团队||CO2升高竟能降低淡水湖甲基汞含量?
4.西安理工大学-潘保柱(优青)团队-顶刊Water Research||功能性状革新河流浮游植物群落稳定性评估
5.中国地质大学(武汉)-祁士华团队-Water Research||碳循环颠覆多环芳烃命运!沉积物有机碳角色揭示环境风险新机制
6.北大深圳院-余珂团队-Water Research||革命性突破!微藻-细菌颗粒协同处理高氨废水,去除率飙升!
7.江苏理工学院-刘芳团队-TOP期刊BT||硫酸盐激活光合细菌增殖奇迹!废水处理资源回收新突破
8.西安建筑科技大学-黄廷林团队-Water Research||水库变身预处理厂!人工混合曝气技术双控内源径流污染。
9.德国亥姆霍兹环境研究中心-ES&T:陆海DOM结构大揭秘!官能团分布决定陆地和海洋降解溶解有机质的化学性质.
10.北京工业-彭永臻(院士)团队-杜睿研究员(优青)-Water Research||厌氧氨氧化工艺突破低温枷锁!部分反硝化耦合实现高效脱氮